En Lael Dental combinamos salud, función y belleza para transformar sonrisas. Ofrecemos tratamientos personalizados que armonizan dientes, encías y rasgos faciales, utilizando tecnología avanzada y materiales de alta calidad. Creemos que una sonrisa equilibrada no solo mejora la imagen, sino también la confianza y el bienestar de cada paciente.
Ortodoncia
Especialidad odontológica enfocada en la corrección de la posición de los dientes y la alineación de los maxilares. La ortodoncia no solo mejora la estética de la sonrisa, sino que también optimiza la función masticatoria y la estabilidad de la mordida. En esta sección encontrarás información sobre tratamientos con brackets, alineadores y retenedores, así como recomendaciones y cuidados durante el proceso de alineación dental.
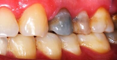
Rehabilitación Oral
Especialidad odontológica orientada a restaurar la función, estética y salud de la boca cuando existen dientes dañados, desgastados o ausentes. La rehabilitación oral combina distintos tratamientos —como prótesis dentales, coronas, puentes e implantes — para devolver la correcta masticación, estabilidad de la mordida y armonía de la sonrisa. En esta sección encontrarás información sobre opciones de tratamiento, materiales, beneficios y cuidados posteriores.
Periodoncia
Especialidad odontológica dedicada a la prevención, diagnóstico y tratamiento de las enfermedades que afectan las encías y los tejidos que sostienen los dientes. La periodoncia es fundamental para mantener la salud bucal a largo plazo, ya que trata afecciones como la gingivitis u otros, además de realizar procedimientos como limpiezas profundas y cirugías periodontales. En esta sección encontrarás información sobre síntomas, tratamientos y cuidados para mantener unas encías sanas.
Cirugía Oral
Especialidad odontológica que abarca procedimientos quirúrgicos realizados en la cavidad bucal para tratar patologías, infecciones, alteraciones estructurales o piezas dentales que no pueden resolverse con tratamientos convencionales. En esta sección encontrarás información sobre indicaciones, tipos de cirugía, recuperación y cuidados postoperatorios.
Ortopedia Dentofacial
Especialidad que guía el crecimiento y desarrollo de los maxilares, especialmente en niños y adolescentes.
Odontología Estética
Área de la odontología enfocada en mejorar la apariencia de la sonrisa mediante tratamientos que armonizan forma, color y proporción dental. La odontología estética combina ciencia y diseño para lograr resultados naturales y funcionales. En esta sección encontrarás información sobre opciones de tratamiento, beneficios, cuidados y expectativas de resultados.
Parafunción Oral
Área odontológica que estudia y trata los hábitos orales involuntarios o repetitivos que pueden afectar la salud dental, muscular y articular. La Parafunción oral incluye condiciones como el bruxismo y el apretamiento dental, que pueden provocar desgaste de los dientes, dolor mandibular, sensibilidad y trastornos de la articulación temporomandibular (ATM). En esta sección encontrarás información sobre causas, síntomas, consecuencias y opciones de tratamiento para prevenir daños a largo plazo.
Endodoncia
Especialidad dedicada al tratamiento del nervio dental y tejidos internos del diente.
Tips y Consejos Dentales
Sección dedicada a brindar recomendaciones prácticas para el cuidado diario de la salud bucal y la prevención de problemas dentales. Aquí encontrarás consejos sobre higiene oral, técnicas correctas de cepillado, uso de hilo dental, cuidado de prótesis o aparatos, alimentación saludable y hábitos que ayudan a mantener dientes y encías en óptimas condiciones. Un espacio pensado para educar, prevenir y promover una sonrisa sana a largo plazo.

































